马上注册,结交更多好友,享用更多功能,让你轻松玩转社区。
您需要 登录 才可以下载或查看,没有账号?立即注册

x
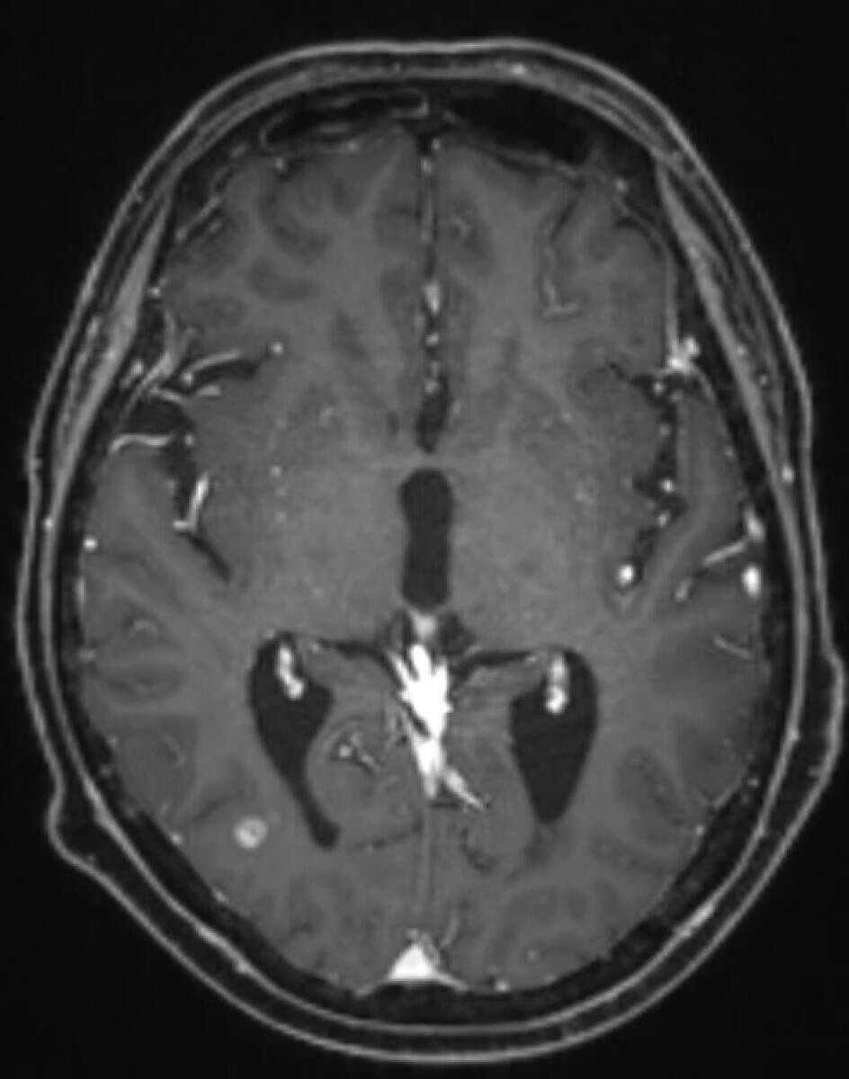
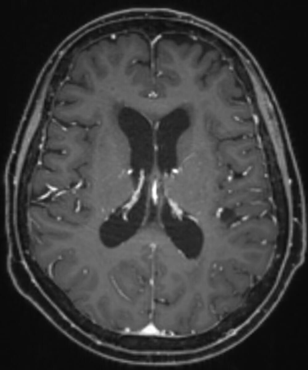
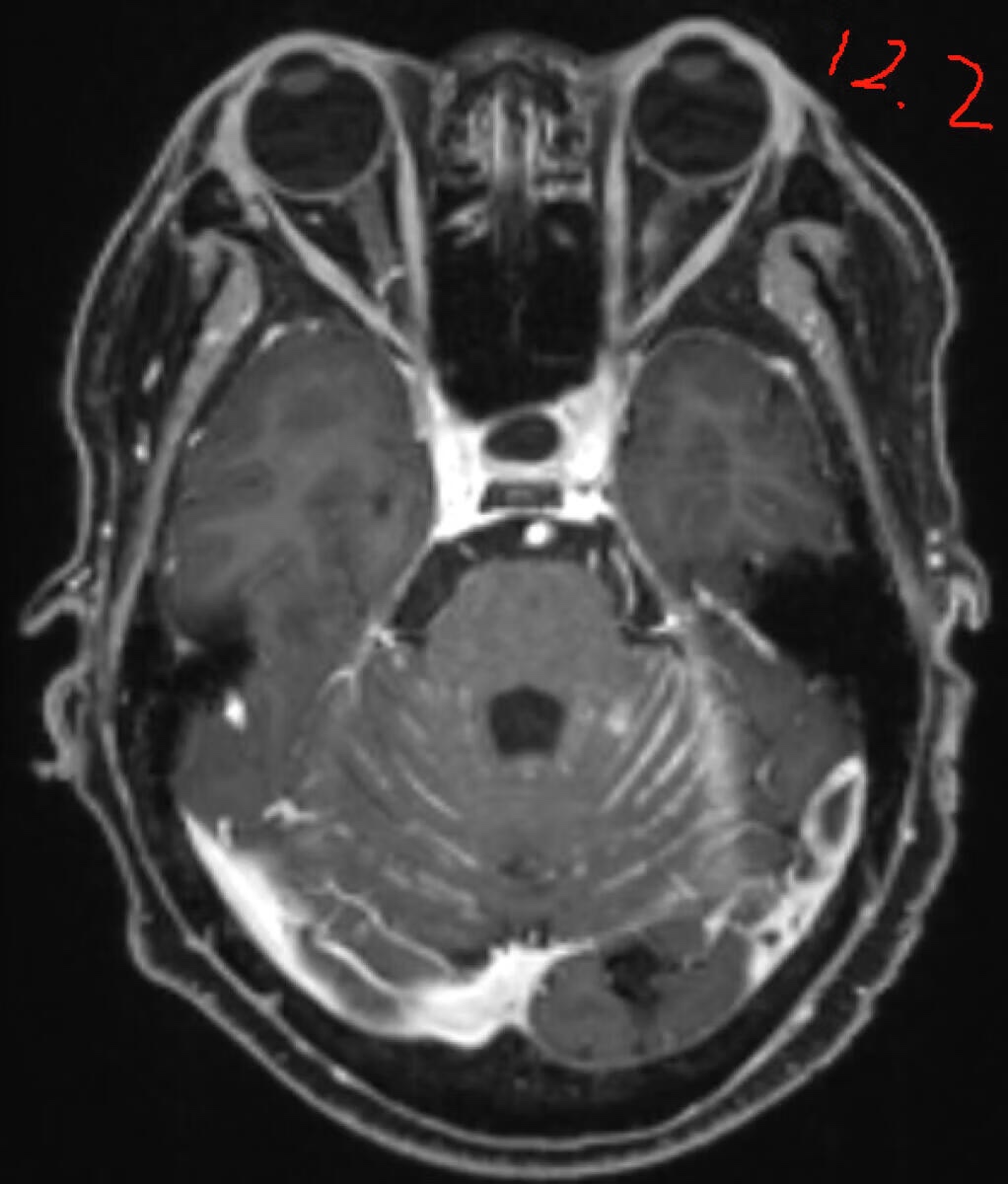
肺腺伴脑转移,放化疗后一直单线奥西,12月初复查头颅新增病灶较前增大,考虑有脑膜转移,目前偶尔头晕,头痛,持续时间短(自确诊以来偶尔都有),本地医生建议双倍奥西,现已经口服双倍20多天,请问没有症状的脑膜转移需要鞘注吗?脑膜转移可逆吗?有没有可能双倍奥西后脑膜转移就消失,病灶缩小了?求各位大佬指导
& e4 Q A2 p" t9 S& b/ \% \- a% J
3 @: A% B$ j R# j: o M
4 }' W; V# Q, u& R |
|
|
|
|
|
共9条精彩回复,最后回复于 2026-2-15 19:38
尚未签到
尚未签到
3 x. \' x) o: E/ ?) u3 g! X6 `) ?
请问你们是怎么治疗的呢?有哪些方案?确诊了脑膜转吗 |
|
|
|
|
|
尚未签到
|
可以先复查看看,如果口服靶向药有治疗效果就先吃着,顶不住了就马上鞘注。 |
|
|
|
|
|
尚未签到
6 k* I g1 G1 _+ Y8 ?+ U. e已经复查了 |
|
|
|
|
|
尚未签到
, D' l S3 Z/ X' Q- K结果怎么样?祝好! |
|
|
|
|
|
尚未签到
0 a' p0 M; p1 i; B1 o9 X2 @
谢谢啦,好多了 |
|
|
|
|
|
尚未签到
" _4 [# p: K7 W4 }
那就好,希望大家都平平安安地过个好年! |
|
|
|
|
|
尚未签到
尚未签到